
input date: 17/10/2001
inputter: Arianne
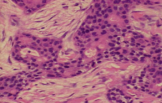
| epithelioma | term type: main entry term part of speech: noun number: singular definition: malignant neoplasm of the tissue that covers the internal and external surfaces of the body (epithelium). (en) reliability code: 5 context (x): I_epthim.txt originator: Arianne |
| epitelioma | part of speech: noun gender: masculine number: singular definition: neoplasia maligna de epitelio (tejido que cubre las capas externas e internas del cuerpo). (es) reliability code: 6 context (x): E_eptlma.txt originator: Arianne |